La cirugía, realizada a comienzos de este año, fue un éxito y el equipo médico extrajo el tumor al mismo tiempo que reconstruyó la piel de su abdomen.
La cirugía, realizada a comienzos de este año, fue un éxito y el equipo médico extrajo el tumor al mismo tiempo que reconstruyó la piel de su abdomen.
Foto
CNN

Share:

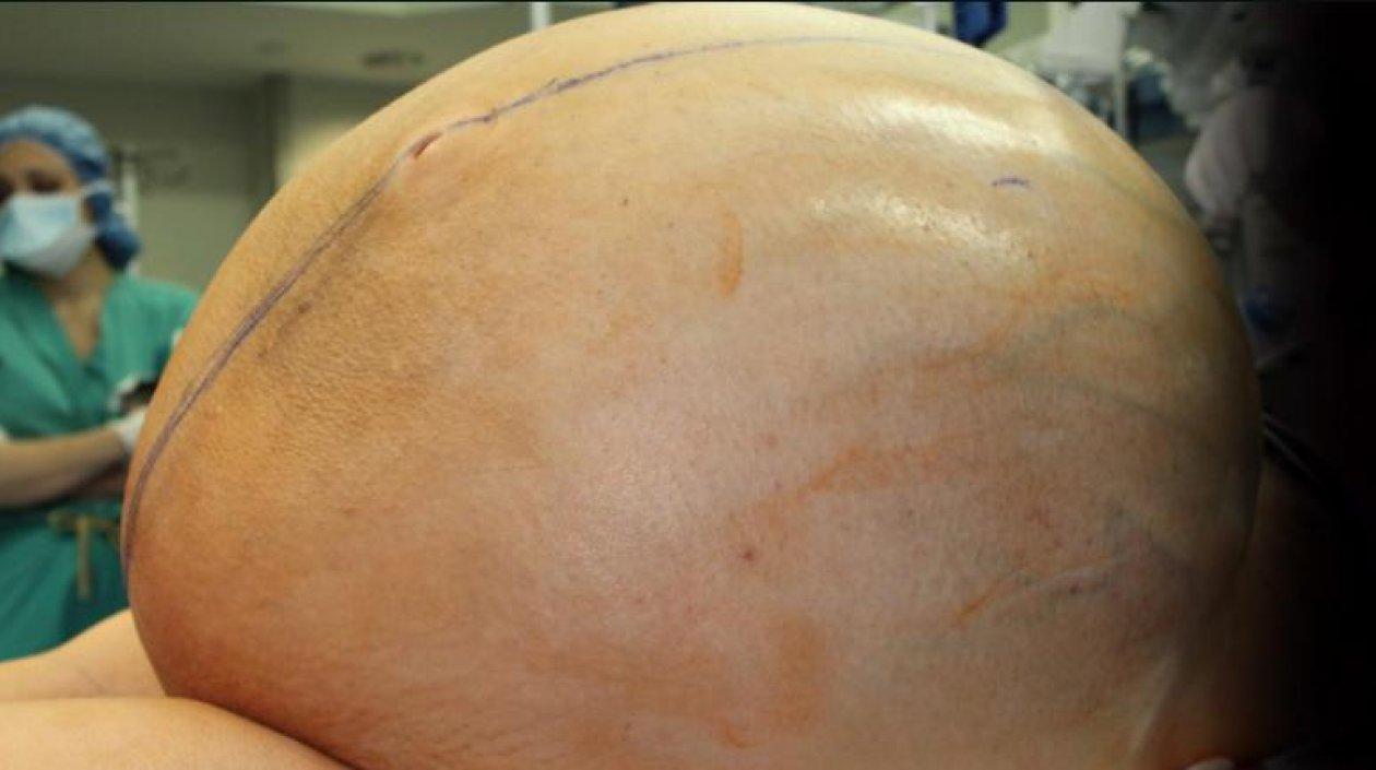
Extirpan un tumor de 60 kilos en un ovario a una mujer de 38 años en EE.UU.

La afectada debía usar silla de ruedas por el peso.

Un equipo de médicos en el estado de Connecticut (EE.UU.) le extirpó un tumor ovárico mucinoso de unos sesenta kilos a una mujer de 38 años, una de las operaciones más grandes registradas en este tipo de tumor, recogen hoy medios estadounidenses.

Según la organización Western Connecticut Health Network, la mujer, que pidió mantener el anonimato, notó por primera vez que algo extraño a finales del año pasado.

Alarmada por un aumento de peso repentino y rápido en su abdomen, que crecía alrededor de 4 kilos por semana, programó una cita con su ginecólogo, que identificó su tumor con una tomografía computerizada.

La mujer fue referida al Hospital Danbury y operada en una cirugía que duró cinco horas el pasado febrero.

"Podría esperar ver un tumor ovárico de 10 kilos, pero un tumor de 60 kilos es muy raro", dijo el cirujano principal Vaagn Andikyan, un oncólogo ginecológico de ese centro médico en un comunicado.

"Cuando conocí a la paciente, ella estaba extremadamente desnutrida porque el tumor estaba asentado en su tracto digestivo, y usaba una silla de ruedas debido al peso del tumor", agregó.

El doctor Andikyan y su equipo sospecharon que el tumor era benigno, pero eso no hizo que la cirugía fuera menos desafiante ya que la masa estaba situada cerca de un vaso sanguíneo importante, por lo que había dudas sobre cómo la operación podría afectar su corazón.

"Hubo muchos problemas relacionados con este gran tumor en el abdomen", explicó a la cadena CNN Linus Chuang, presidente de obstetricia y ginecología de la Western Connecticut Health Network.

"No podía comer, no podía caminar, y había problemas relacionados con posibles complicaciones por esta gran masa que comprimía el sistema venoso. Tenía un riesgo muy alto de desarrollar coágulos de sangre debido a la compresión del flujo sanguíneo", añadió.

Aunque complicada, la cirugía, realizada a comienzos de este año, fue un éxito y el equipo médico extrajo el tumor al mismo tiempo que reconstruyó la piel de su abdomen, que había sido estirada por la masa de forma ostensible, lo que minimizó el número de intervenciones quirúrgicas para la paciente.

Dos semanas más tarde, la mujer recibió el alta y ahora está de vuelta en el trabajo y recuperada.

EFE

Más sobre este tema: